Inlay
Ein Inlay beschreibt ein passgenaues Füllmaterial das bei einem Zahndefekt zum Einsatz kommt
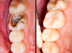
Das auch allgemein als Füllungsmaterial bezeichnete Inlay beschreibt ein individuell für den Patienten angefertigtes Werkstück, das als passgenaues Füllmaterial bei einem Zahndefekt
zum Einsatz kommt. Die Zahnmedizin bietet heutzutage verschiedene
Möglichkeiten, Kariesfolgen zu behandeln und angegriffene Zähne zu
rekonstruieren. Inlays werden grundsätzlich patientenbezogen
angefertigt und ermöglichen so einen passgenauen, exakten Einsatz bei
gleichzeitiger Beibehaltung der Ästhetik. Inlays werden im
Seitenzahnbereich eingesetzt, wo sie selbst größere Defekte ausgleichen
und dennoch Frakturen der dünnen Seitenwände der Zähne vermeiden. Neben
Gold-Inlays haben Patienten auch die Möglichkeit, auf vollwertige
Keramik-Inlays zurückzugreifen. Darüberhinaus gibt es noch Composites, die sich vor allem für die Schließung von kleineren Löchern an Frontzähnen eignen.
Inlays können sogar dann eingesetzt werden, wenn der Defekt am Zahn zu umfangreich für eine Füllung mit Composite wäre. Inlays
gelten als sehr langlebiges und robustes Füllungsmaterial, das farblich
exakt an die Zahnfarbe des jeweiligen Patienten angepasst werden kann.
Anders als bei herkömmlichen Füllungsmaterialien, die in weicher
Konsistenz mittels Formhilfen in den Zahn gebracht werden, wo sie
aushärten, werden Inlays nach individueller Anfertigung vom
Zahntechniker in den entsprechenden Zahn eingeklebt. Dies verspricht
größtmögliche Passgenauigkeit sowie eine stabile,
robuste Verbindung mit dem Zahn. Durch eine Abformung des Ober- und
Unterkiefers wird genauestens ermittelt, welche Form das Inlay haben
muss, um sich nahtlos und exakt in den angegriffenen Zahn einzufügen.
Wir fertigen Inlays direkt in unserer Praxis und können das fertige Ergebnis noch in derselben Sitzung passgenau am beschädigten Zahn anbringen.
Nur, wenn nach dem behandelten Kariesbefall noch genug Zahnsubstanz übrig geblieben ist, macht der Einsatz von Inlays Sinn. Neben Gold-Inlays stellen solche aus Keramik die am häufigsten gewählte Alternative dar, da sie sich hinsichtlich der Farbe äußerst präzise an die eigene Zahnfarbe anpassen lassen. Dadurch wird die Zahnästhetik sogar noch verschönert, während der betroffene Zahn zugleich vor dem Eindringen weiterer Bakterien und Keime geschützt ist. Ein weiterer Vorteil von Inlays ist die gute Verträglichkeit, sodass sie auch für Allergiker gut geeignet sind.

Da Füllungen mit Inlays teurer sind als beispielsweise solche mit Amalgam, stellt sich häufig die Frage, welche Alternativen die heutige Zahnmedizin mit sich bringt. Jeder Patient sollte selber entscheiden, welche Art von Füllung er bevorzugt. Nicht nur die Kosten entscheiden über die Art der Füllung, sondern vielmehr die gewünschte Ästhetik, da die Zähne im täglichen Leben eine wichtige Rolle spielen. Gold-Inlays sind als Füllungen selbst für Laien sofort erkennbar und sorgen für eine ungleichmäßige Schönheit im Mundraum. Amlagam ist seit geraumer Zeit in der Diskussion, dass die Füllungen Langzeitschäden auf die Gesundheit haben. Aus diesem Grund sehen wir von der Amalgam-Verwendung komplett ab. Inlays aus Keramik, ebenso wie Kronen oder Brücken aus demselben Material und Kompositfüllungen aus Kunststoff, werden individuell in genau derselben Zahnfarbe angefertigt, wie die restlichen Zähne des Patienten. So ergibt sich ein einheitliches Bild, das ein ganz neues Lebensgefühl verspricht. Und dank der Technik in unserer Praxis müssen Sie nicht erst ein Provisorium tragen, bis das fertige Inlay Tage oder Wochen später vom Zahntechniker hergestellt wurde.
Auf einen Blick:
- Inlays lassen sich exakt an den Zahndefekt und die Farbe anpassen
- Vor allem bei Kriegsschäden kommen Inlays zum Einsatz und verschließen entstandene Löcher
- Patienten haben die Wahl zwischen Gold- und Keramikinlays
- Das Füllmaterial ist sehr langlebig und robust
bei Dr. Frank Seidel
Förster-Funke-Allee 104
14532 Kleinmachnow Berlin
Tel.: 033203 85200
Email:
info@zahnaerztin-wojcik.de
Montag-Freitag
09.00 - 18.00 Uhr
Samstag
09.00 - 13.00 Uhr